


※1 総額18.7〜42.9万円。症状やご希望の治療内容によっては、この範囲を超える費用が発生する場合がございます。デンタルローンを利用して17万円(税込18.7万円)を頭金なし・78回払いで支払う場合の分割支払金額(金利込み)
※2 矯正治療契約時のみ。
※2 ホワイトニングの費用は総額費用に含まれます。
※2 費用に含まれるホワイトニング本数は、医院や契約プランによって異なります。
※2 患者さんの年齢や口腔内の状況によってはリスクの観点からホワイトニング剤をご提供できない場合がございます。
※3 総額23.1万円(税込)8回コースを選択時。(デンタルローン120回払いで支払う場合)
※4 総額19.8万円(税込)5回コースを選択時。(別途、初回検診料・再診料・リテーナー費用がかかります。)

■虫歯になりやすい

歯並びが悪いとブラシが届かない箇所が増えて虫歯になりやすくなります。
■歯が欠けやすい

嚙み合わせの時に一部の歯にかかる負担が大きくなるため欠けやすくなります。
■口臭がひどくなる

ブラシで磨けないため食べ物カスが残り、歯磨きしても口臭が残りやすくなります。
■咀嚼が上手くできない

嚙み合わせが悪いため咀嚼しても食べ物の形が残りやすく消化しずらくなります。

噛み合わせが悪いと、無意識に「噛みやすい片側」ばかりで食べ物を噛む癖がつきやすいです。
左右の筋肉の発達の差が、顔の輪郭や表情筋の付き方に影響を与えてしまいます。その結果、左右で顔のバランスが違う状態になりやすいです。
長期間の歪みで骨格まで変わってしまうと外科矯正手術も必要になるため、歯並びが悪い状態を放置することは危険です。

※◀▶でスライドすることが出来ます。
※治療効果ではなく笑顔の印象を確認するためのイメージです。

歯の矯正って聞くと、銀色の針金を歯に付けるイメージがありますよね。
ですが令和の歯列矯正はマウスピース矯正が主流となりました。
ワイヤー矯正とマウスピース矯正の違いを比較してみましょう。
| 矯正の種類 | ワイヤー![]() |
マウスピース![]() |
|---|---|---|
| 料金※ | 60万~130万 | 30万~50万 |
| 特徴一覧 | ワイヤーが目立つ 装着時に痛み 一部食事の制限 歯磨きが難しい |
透明で目立たない 痛みが少ない※ 制限はほぼ無し 取り外しOK |
| 治療期間 | 1年半~3年程度 | 3ヶ月~1年程度 |
| 通院頻度 | 約1ヶ月に1回 | 3ヶ月に1回程度 |
※独自調査による矯正(上あご部分矯正)の料金相場
※痛みの感じ方には個人差があります。
このようにマウスピース矯正のメリットは豊富で、大人の歯の矯正で一番人気のある施術方法です。
当サイトではマウスピース矯正のあるクリニックを徹底比較しました!
特にオススメのクリニックをランキング形式で紹介致します。
ぜひ検討されている方は参考にしてみてくださいね。

※1 症状やご希望の治療内容によっては、この範囲を超える費用が発生する場合がございます。
※2 総額18.7〜42.9万円。症状やご希望の治療内容によっては、この範囲を超える費用が発生する場合がございます。デンタルローンを利用して17万円(税込18.7万円)を頭金なし・78回払いで支払う場合の分割支払金額(金利込み)
※3 デンタルローン120回払いで支払う場合
※4 治療効果や治療期間には個人差があります。
※5 万が一、シミュレーション通りに歯が移動しなかった場合。
※6 2025年12月時点
※7 2025年12月時点
| 料金プラン | 月額3,000円~※1 |
|---|---|
| 総額料金 | 18.7万円~42.9万円(税込)※4 |
| 初診料 | 0円 |
| 矯正期間 | 平均3ヶ月※3 |
| 通院頻度 | 3ヶ月に1回(目安) |
※1 総額18.7〜42.9万円。症状やご希望の治療内容によっては、この範囲を超える費用が発生する場合がございます。デンタルローンを利用して17万円(税込18.7万円)を頭金なし・78回払いで支払う場合の分割支払金額(金利込み)
※2 ご契約プランによって保証内容は異なります。
※3 ※一部提携クリニックのみ。
※4 治療効果や治療期間には個人差があります。
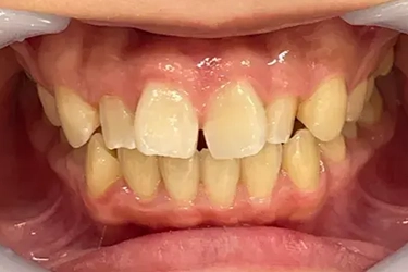
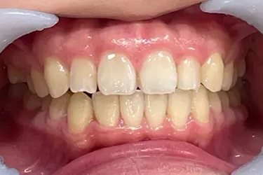
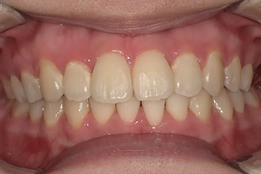
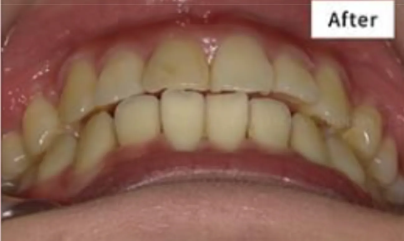
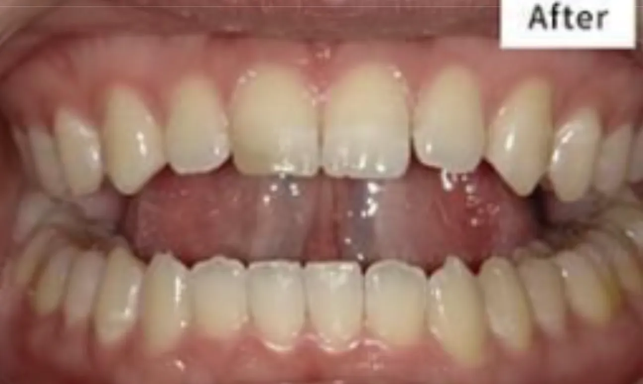
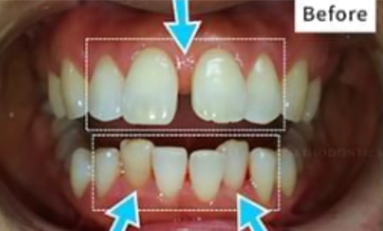
Before

After

| 詳細情報 | |
|---|---|
| 費用 | 360,000円(税込396,000円) |
| 治療期間 | 6ヶ月 |
| 治療内容 | マウスピースを用いた歯列矯正 |
| 追加処置 | IPR |
※保険適用外の自由診療となります。
※効果や感じ方には個人差があります。
※マウスピース矯正の主なリスク: 虫歯・歯周病・ブラックトライアングル・歯根吸収・歯肉退縮・1日20時間以上のマウスピース装着が必須・マウスピースにより痛みを感じる可能性・治療中に一時的にかみ合わせに不具合をきたす可能性・リテーナーを最低1年間は1日20時間以上装着、その後徐々に着用時間を減らし、2年目以降は夜間のみの着用推奨。
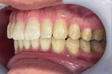
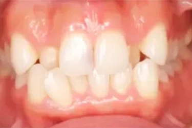
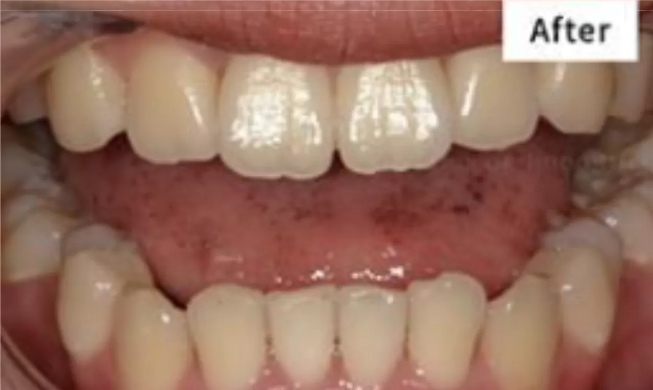
Before

After

| 詳細情報 | |
|---|---|
| 費用 | 360,000円(税込396,000円) |
| 治療期間 | 2ヶ月 |
| 治療内容 | マウスピースを用いた歯列矯正 |
| 追加処置 | IPR |
※保険適用外の自由診療となります。
※効果や感じ方には個人差があります。
※マウスピース矯正の主なリスク: 虫歯・歯周病・ブラックトライアングル・歯根吸収・歯肉退縮・1日20時間以上のマウスピース装着が必須・マウスピースにより痛みを感じる可能性・治療中に一時的にかみ合わせに不具合をきたす可能性・リテーナーを最低1年間は1日20時間以上装着、その後徐々に着用時間を減らし、2年目以降は夜間のみの着用推奨。
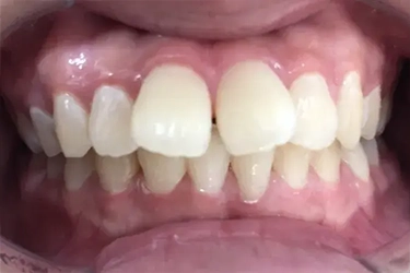
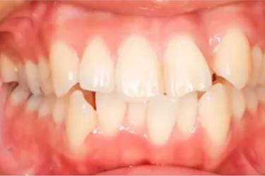
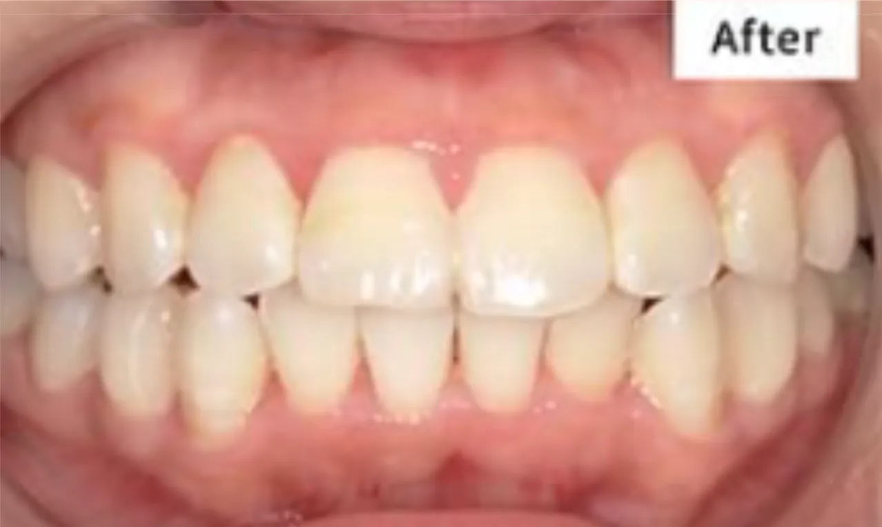
Before

After

| 詳細情報 | |
|---|---|
| 費用 | 360,000円(税込396,000円) |
| 治療期間 | 4ヶ月 |
| 治療内容 | マウスピースを用いた歯列矯正 |
| 追加処置 | IPR |
※保険適用外の自由診療となります。
※効果や感じ方には個人差があります。
※マウスピース矯正の主なリスク: 虫歯・歯周病・ブラックトライアングル・歯根吸収・歯肉退縮・1日20時間以上のマウスピース装着が必須・マウスピースにより痛みを感じる可能性・治療中に一時的にかみ合わせに不具合をきたす可能性・リテーナーを最低1年間は1日20時間以上装着、その後徐々に着用時間を減らし、2年目以降は夜間のみの着用推奨。
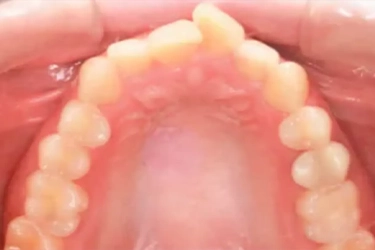
Before

After

| 詳細情報 | |
|---|---|
| 費用 | 360,000円(税込396,000円) |
| 治療期間 | 4ヶ月 |
| 治療内容 | マウスピースを用いた歯列矯正 |
| 追加処置 | IPR |
※保険適用外の自由診療となります。
※効果や感じ方には個人差があります。
※マウスピース矯正の主なリスク: 虫歯・歯周病・ブラックトライアングル・歯根吸収・歯肉退縮・1日20時間以上のマウスピース装着が必須・マウスピースにより痛みを感じる可能性・治療中に一時的にかみ合わせに不具合をきたす可能性・リテーナーを最低1年間は1日20時間以上装着、その後徐々に着用時間を減らし、2年目以降は夜間のみの着用推奨。
Before

After

| 詳細情報 | |
|---|---|
| 費用 | 360,000円(税込396,000円) |
| 治療期間 | 6ヶ月 |
| 治療内容 | マウスピースを用いた歯列矯正 |
| 追加処置 | IPR |
※保険適用外の自由診療となります。
※効果や感じ方には個人差があります。
※マウスピース矯正の主なリスク: 虫歯・歯周病・ブラックトライアングル・歯根吸収・歯肉退縮・1日20時間以上のマウスピース装着が必須・マウスピースにより痛みを感じる可能性・治療中に一時的にかみ合わせに不具合をきたす可能性・リテーナーを最低1年間は1日20時間以上装着、その後徐々に着用時間を減らし、2年目以降は夜間のみの着用推奨。
総合的な満足度は非常に高いです。
評価:
5.0
長年のコンプレックスだった前歯の軽度のガタつきを改善したく、目立たないことと費用の手頃さからスマイルモア矯正を選びました。
サイトから相談予約を入れるのは非常にスムーズで、すぐに提携クリニックでの初診カウンセリングの日程が取れました。
担当の先生や受付の方の応対はとても丁寧で、こちらの不安や疑問を一つ一つ解消してくれたのが印象的です。
特に、40代から始めることへの懸念も、「今からでも遅くない」と後押ししてくれて心強かったです。治療期間のフォローは、通院回数が少ない分、オンラインでのやり取りが中心でしたが、質問には迅速に答えてもらえました。
マウスピースは透明で本当に目立たず、仕事で人と話す時も周りにほとんどバレませんでした。
付け始めや交換直後は締め付けられるような痛みがありましたが、数日で慣れる程度で、ワイヤー矯正と比べると格段に楽だったと思います。
費用総額は一般的な歯列矯正よりもかなり抑えられた印象で、パッケージ化されていたため明確でした。
治療期間は約1年で完了し、鏡を見るたびに自信を持てるようになり、総合的な満足度は非常に高いです。迷っているなら、まずはカウンセリングを受けてみることを強くおすすめします!
RX-714 / 47歳
※募集した口コミから掲載
短期間で行いたい人に
評価:
5.0
月額3,000円から始められるなど、費用面のメリットがあります。
通院頻度が3ヶ月に1回程度で済むため、忙しい人でも続けやすいです。
軽度な前歯の矯正をリーズナブルに、短期間で行いたい人に向いているサービスです。
まつ / 28歳
※募集した口コミから掲載
効果はしっかり感じました。
評価:
4.0
最初のカウンセリングがとても丁寧で安心出来ました。大抵の人はこういうものに対して詳しくないビギナーなので、その点では安心感があって良かったです。
少額からはじめられて比較的短期間で終わるのでそこを気にする人には向きます。
治せる範囲は限られますが、気になる箇所のすきっ歯を詰めて治す技術は確かなもので効果はしっかり感じました。
通院回数が少なく済むことで時間の負担が少ないのも良かったです。
じゃくす / 36歳
※募集した口コミから掲載

| 料金プラン | 月額1,925円(税込)~の分割可能 ※プランにより変動 ※デンタルローン120回払いで支払う場合 |
|---|---|
| 総額料金 | 1回コース:1,650円(税込)※マウスピースを装着し、使用感を体験いただく初回プラン 8回コース:231,000円(税込)/月額1,925円~(税込) 12回コース:352,000円(税込)/月額2,940円~(税込) 18回コース:517,000円(税込)/月額4,310円~(税込) 24回コース:660,000円(税込)/月額5,500円~(税込) 30回コース:880,000円(税込)/月額7,340円~(税込) |
| 初診料 | 相談+検査+診断:0円 ※費用は医院によって異なる |
| 矯正期間 | 平均期間3ヶ月~11ヶ月 ※個人差あり |
| 通院頻度 | 平均頻度1.5~3ヶ月に1回 ※選択したコースや治療状態による |
Before

After

| 詳細情報 | |
|---|---|
| 費用 | 231,000円(月額3,850円) |
| 治療期間 | 4ヶ月目(治療途中) |
| 治療内容 | マウスピースを用いた歯列矯正 |
| 追加処置 | - |
※保険適用外の自由診療となります。
※効果や感じ方には個人差があります。
※マウスピース矯正の主なリスク: 虫歯・歯周病・ブラックトライアングル・歯根吸収・歯肉退縮・1日20時間以上のマウスピース装着が必須・マウスピースにより痛みを感じる可能性・治療中に一時的にかみ合わせに不具合をきたす可能性・リテーナーを最低1年間は1日20時間以上装着、その後徐々に着用時間を減らし、2年目以降は夜間のみの着用推奨。
Before

After

| 詳細情報 | |
|---|---|
| 費用 | 517,000円(月額8,580円) |
| 治療期間 | 9ヶ月目 |
| 治療内容 | マウスピースを用いた歯列矯正 |
| 追加処置 | - |
※保険適用外の自由診療となります。
※効果や感じ方には個人差があります。
※マウスピース矯正の主なリスク: 虫歯・歯周病・ブラックトライアングル・歯根吸収・歯肉退縮・1日20時間以上のマウスピース装着が必須・マウスピースにより痛みを感じる可能性・治療中に一時的にかみ合わせに不具合をきたす可能性・リテーナーを最低1年間は1日20時間以上装着、その後徐々に着用時間を減らし、2年目以降は夜間のみの着用推奨。
Before

After

| 詳細情報 | |
|---|---|
| 費用 | 352,000円(月額5,830円) |
| 治療期間 | 6ヶ月目 |
| 治療内容 | マウスピースを用いた歯列矯正 |
| 追加処置 | - |
※保険適用外の自由診療となります。
※効果や感じ方には個人差があります。
※マウスピース矯正の主なリスク: 虫歯・歯周病・ブラックトライアングル・歯根吸収・歯肉退縮・1日20時間以上のマウスピース装着が必須・マウスピースにより痛みを感じる可能性・治療中に一時的にかみ合わせに不具合をきたす可能性・リテーナーを最低1年間は1日20時間以上装着、その後徐々に着用時間を減らし、2年目以降は夜間のみの着用推奨。
Before

After

| 詳細情報 | |
|---|---|
| 費用 | 107,800円(月額1,760円) |
| 治療期間 | 2ヶ月目 |
| 治療内容 | マウスピースを用いた歯列矯正 |
| 追加処置 | - |
※保険適用外の自由診療となります。
※効果や感じ方には個人差があります。
※マウスピース矯正の主なリスク: 虫歯・歯周病・ブラックトライアングル・歯根吸収・歯肉退縮・1日20時間以上のマウスピース装着が必須・マウスピースにより痛みを感じる可能性・治療中に一時的にかみ合わせに不具合をきたす可能性・リテーナーを最低1年間は1日20時間以上装着、その後徐々に着用時間を減らし、2年目以降は夜間のみの着用推奨。
Before

After

| 詳細情報 | |
|---|---|
| 費用 | 660,000円(月額11,000円) |
| 治療期間 | 12ヶ月目 |
| 治療内容 | マウスピースを用いた歯列矯正 |
| 追加処置 | - |
※保険適用外の自由診療となります。
※効果や感じ方には個人差があります。
※マウスピース矯正の主なリスク: 虫歯・歯周病・ブラックトライアングル・歯根吸収・歯肉退縮・1日20時間以上のマウスピース装着が必須・マウスピースにより痛みを感じる可能性・治療中に一時的にかみ合わせに不具合をきたす可能性・リテーナーを最低1年間は1日20時間以上装着、その後徐々に着用時間を減らし、2年目以降は夜間のみの着用推奨。
満足しています。
評価:
5.0
歯並びを整えたいと思い、目立たないウィスマイルを選びました。予約やサイト利用はスムーズで、スタッフの対応も親切で安心できました。マウスピースは透明で痛みも少なく、費用もわかりやすく設定されています。治療開始から数か月で少しずつ歯が整い、満足しています。
KK / 33歳
※募集した口コミから掲載
月額1900円台~
評価:
5.0
ウィスマイルで良かったことは、これまで歯科矯正については、高額だと思っていたのですが、ウィ・スマイルでは、分割払いが可能であり、月額1900円台~で対応して頂けることが可能でしたので、素晴らしいと思いました平均治療期間も具体的な期間が記載されており、かなりイメージしやすかったです。
ヤマダ / 42歳
※募集した口コミから掲載
自信を持って笑顔を見せられる
評価:
4.0
就職活動を控え、歯並びが気になっていたのでウィスマイル矯正を始めました。予約はサイトから簡単でスムーズ、初回カウンセリングも分かりやすく丁寧に説明してくれ安心できました。マウスピースは透明で目立たず、痛みもほとんどありません。費用も明確で、支払い方法もわかりやすかったです。数か月で歯並びが整い、自信を持って笑顔を見せられるようになり大満足です。
won / 29歳
※募集した口コミから掲載

| 料金プラン | 月々3,100円(税抜)~ ※デンタルローンを利用して10回コース(330,000円)を120回払いで支払う場合 |
|---|---|
| 総額料金 | 都度払い:44,000円(税込) 5回コース:198,000円(税込) 10回コース:330,000円(税込) 15回コース:462,000円(税込) |
| 初診料 | 相談+検査+診断:0円~5,500円程度 ※費用は医院によって異なる |
| 矯正期間 | 平均期間2.5ヶ月~12ヶ月程度 ※個人差あり |
| 通院頻度 | 平均頻度1.5~2ヶ月に1回 ※選択したコースや治療状態による |
Before

After

| 詳細情報 | |
|---|---|
| 費用 | 176,000円 |
| 治療期間 | 6ヶ月目 |
| 治療内容 | マウスピースを用いた歯列矯正 |
| 追加処置 | - |
※掲載している症例写真は、2024年4月のキレイライン矯正リニューアル以前に治療終了された患者様のものです。
現在の治療費用・再診料・追加治療費用とは異なります。
※マウスピース矯正(キレイライン矯正含む)の主なリスク虫歯・歯肉炎・歯周病・ブラックトライアングル・歯根吸収・歯肉退縮・1日20時間以上のマウスピース装着が必須・マウスピースにより痛みを感じる可能性・治療中に一時的に咬み合わせに不具合をきたす可能性があります。
Before

After

| 詳細情報 | |
|---|---|
| 費用 | 176,000円 |
| 治療期間 | 4.5ヶ月目 |
| 治療内容 | マウスピースを用いた歯列矯正 |
| 追加処置 | - |
※掲載している症例写真は、2024年4月のキレイライン矯正リニューアル以前に治療終了された患者様のものです。
現在の治療費用・再診料・追加治療費用とは異なります。
※マウスピース矯正(キレイライン矯正含む)の主なリスク虫歯・歯肉炎・歯周病・ブラックトライアングル・歯根吸収・歯肉退縮・1日20時間以上のマウスピース装着が必須・マウスピースにより痛みを感じる可能性・治療中に一時的に咬み合わせに不具合をきたす可能性があります。
Before

After

| 詳細情報 | |
|---|---|
| 費用 | 176,000円 |
| 治療期間 | 6ヶ月目 |
| 治療内容 | マウスピースを用いた歯列矯正 |
| 追加処置 | - |
※掲載している症例写真は、2024年4月のキレイライン矯正リニューアル以前に治療終了された患者様のものです。
現在の治療費用・再診料・追加治療費用とは異なります。
※マウスピース矯正(キレイライン矯正含む)の主なリスク虫歯・歯肉炎・歯周病・ブラックトライアングル・歯根吸収・歯肉退縮・1日20時間以上のマウスピース装着が必須・マウスピースにより痛みを感じる可能性・治療中に一時的に咬み合わせに不具合をきたす可能性があります。
Before

After

| 詳細情報 | |
|---|---|
| 費用 | 319,000円 |
| 治療期間 | 8ヶ月目 |
| 治療内容 | マウスピースを用いた歯列矯正 |
| 追加処置 | - |
※掲載している症例写真は、2024年4月のキレイライン矯正リニューアル以前に治療終了された患者様のものです。
現在の治療費用・再診料・追加治療費用とは異なります。
※マウスピース矯正(キレイライン矯正含む)の主なリスク虫歯・歯肉炎・歯周病・ブラックトライアングル・歯根吸収・歯肉退縮・1日20時間以上のマウスピース装着が必須・マウスピースにより痛みを感じる可能性・治療中に一時的に咬み合わせに不具合をきたす可能性があります。
Before

After

| 詳細情報 | |
|---|---|
| 費用 | 319,000円 |
| 治療期間 | 7ヶ月目 |
| 治療内容 | マウスピースを用いた歯列矯正 |
| 追加処置 | - |
※掲載している症例写真は、2024年4月のキレイライン矯正リニューアル以前に治療終了された患者様のものです。
現在の治療費用・再診料・追加治療費用とは異なります。
※マウスピース矯正(キレイライン矯正含む)の主なリスク虫歯・歯肉炎・歯周病・ブラックトライアングル・歯根吸収・歯肉退縮・1日20時間以上のマウスピース装着が必須・マウスピースにより痛みを感じる可能性・治療中に一時的に咬み合わせに不具合をきたす可能性があります。
大変素晴らしく思いました。
評価:
5.0
キレイラインでは、従来、100万円かかるイメージでありました、歯科矯正を5回プランや、10回プラン、15回プランと歯の程度に応じて治療して頂けるプランがありましたので、金額も5回で歯のガタツキが気になる方でしたら、19.8万円等非常にリーズナブルで歯の程度についての治療方法も明示されておりましたので、大変素晴らしく思いました。
ホリ / 41歳
※募集した口コミから掲載
一般矯正より安く満足です。
評価:
5.0
前歯の軽いズレが悩みでマウスピース歯列矯正をしました。キレイライン矯正は医師もスタッフの対応も丁寧で安心。
マウスピースは透明でほぼバレず、痛みは最初だけ&軽め。費用も一般矯正より安く満足です。
短期間で歯並びが整い、仕上がりにも満足しています。
うぃんぞ / 36歳
※募集した口コミから掲載
心から満足しています。
評価:
5.0
30代になり、前歯のわずかな重なりが写真に写るたびに気になるように。高額な費用から矯正は諦めていましたが、SNSでキレイラインの手頃な価格を知り、まずは相談だけでもと予約しました。
カウンセリングは丁寧で、治療範囲と費用が明確だったため安心して始められました。マウスピースは本当に目立たず、接客業ですが誰にも気づかれませんでした。
少しの痛みはありましたが、歯が動いている証拠だと頑張れました。短期間でコンプレックスだった歯並びが整い、心から満足しています。
しらたま / 27歳
※募集した口コミから掲載


※1 症状やご希望の治療内容によっては、この範囲を超える費用が発生する場合がございます。
※2 総額18.7〜42.9万円。症状やご希望の治療内容によっては、この範囲を超える費用が発生する場合がございます。デンタルローンを利用して17万円(税込18.7万円)を頭金なし・78回払いで支払う場合の分割支払金額(金利込み)
※3 デンタルローン120回払いで支払う場合
※4 治療効果や治療期間には個人差があります。
※5 万が一、シミュレーション通りに歯が移動しなかった場合。
※6 2025年12月時点
※7 2025年12月時点
【調査概要】
・調査目的:マウスピース矯正の口コミや体験感想の調査を行い、利用者に合ったマウスピースブランドをを紹介すること。
・調査方法:WEBアンケート
・調査対象:日本国内
・調査対象者:18歳以上の男女
・調査実施期間:2025年8月1日~2025年12月(現在も随時更新中)
・有効回答:119名